| Dr. Chris Kennedy believes that
the use of a newly tailored non-steroidal anti-inflammatory drug
(NSAID) at the onset of kidney disease could stall its progression
or even reverse the damage it causes.
NSAIDs net more than a billion dollars each year for the pharmaceutical
industry, according to University of Ottawa professor and scientist
Dr. Richard Hébert.
These drugs, namely Celebrex, Bextra, and Vioxx, used for treatment
of arthritis, are no longer on the market in Canada due to their
detrimental side effects. However, Kennedy and Hébert are
establishing the potential usefulness of NSAIDS in patients experiencing
kidney dysfunction.
"These drugs on the one hand have a number of good effects,
but they also have a number of negative effects on the heart or
cardiovascular system as well as in the kidney," Kennedy says.
Replicating kidney disease
Kennedy has worked to identify targets for treating kidney disease
by reproducing the effects of kidney disease in mouse kidney filter
cells. He looks at the genes being turned on or off under certain
conditions and how the interior of the filter cell is responding
and coping under those conditions. This will allow pharmaceutical
companies to come up with more selective NSAIDs that will act downstream
of the ones that already exist.
 |
| The DNA of this mouse has been altered to
produce the colour blue in its kidney filters. |
For example, Kennedy manipulates the kidney cells to mimic the
conditions of diabetes by stretching and pulling them and controlling
their sugar levels. In doing so, he has discovered that there is
an increase in cox-1 and cox-2. Cox-2 is a main target of NSAIDs,
often referred to as Cox-2 inhibitors.
"We’ve noticed that in diabetes, by using cells from
the collecting duct and by pre-treating these cells with glucose,
there is an increase of cox-1 and cox-2 by five or six fold,"
Hébert says. "We know we can slow down this increase
and reverse it with an inhibitor."
Specifically, Kennedy has confirmed the presence of an enzyme that
responds to stress in a cell, such as the stress brought on by kidney
disease. This enzyme is called nicotinamide adenine dinucleotide
phosphate-oxidase, or NADPH oxidase for short.
Stressed kidney cells release a harmful substance produced by NADPH
oxidase known as superoxide. Superoxide sets in motion a series
of reactions within the cell that can eventually kill or significantly
damage the cell. For the kidney, these cells are found in its filters
called nephrons. Each kidney has about one million nephrons and
when they die, the filtration function of the kidney is compromised.
| 'If tailored properly by pharmaceutical
companies, NSAIDs might be able to halt harmful NADPH oxidase
or superoxide bursts.' |
"When we stretched the kidney cells, we found that we had
turned this whole enzyme system on," Kennedy says. "Other
people have found that if production of this enzyme is blocked in
models of kidney disease, some of the damage that occurs can also
be blocked."
Kennedy has shown that turning on NADPH oxidase in the kidney's
filtering cells leads to the generation of more cox-2, which is
targeted by NSAIDs.
"This could mean that NSAIDs would be a good thing for these
types of cells in the context of diabetes and kidney disease, since
these drugs would block a downstream target of NADPH oxidase activation,"
Kennedy explains. "In other words, if tailored properly by
pharmaceutical companies, NSAIDs might be able to halt harmful NADPH
oxidase or superoxide bursts."
Hébert says that under normal circumstances, cox-2 does
not do anything bad. In fact, scientists still do not see a role
for cox with regard to kidney function. It is simply there without
effect.
"The level present under normal circumstances is so small
that we cannot find a role for it unless we increase it artificially
by inducing a disease," Hébert says. "Then, it
affects the physiology of the nephrons, which once affected inhibit
the function of the kidney."
Long-term implications of NSAIDs
One issue Hébert and his research team will study over the
next five years is the long-term use of NSAIDs on the body, but
specifically on the kidney. It is a concern because Hébert
has showed that the collecting duct of the kidney can retain up
to 67 per cent of everything that passes through it, which could
include NSAIDs.
"One thing is that we don't know a lot about the chronic infusion
of NSAIDs, with regard to diabetes," Hébert says.
Kennedy's research is funded by grants from the Canadian Institutes
of Health Research, the Canadian Foundation for Innovation, and
a Biomedical Research Scholarship from the Kidney Foundation of
Canada.
While still a long way off, the use of NSAIDs for treatment of
kidney disease would be a major advancement because the two existing
treatments for kidney disease at present, either transplantation
or dialysis, are both very costly and invasive. Kennedy notes these
high costs put a huge strain on Canada's health care system.
"A lot of people are asking how sustainable our health care
system is, and a big issue with treating kidney disease is that
to be on dialysis runs around 70 to 80 thousand dollars per year,
per person," Kennedy says. "Then there's the cost of drug
therapies that patients have to be on, as well as the actual staff
time, the machines, and filters."
Coupled with the fact that there is still no cure for kidney disease,
another motivation for Kennedy's research is the fact that kidney
disease is rapidly increasing among Canadians.
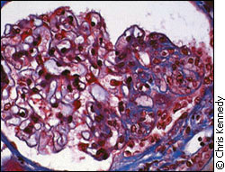
 |
| The red and blue indicate scarring and disease
in the kidney filters. |
"There's actually an increase in the number of people with
chronic kidney disease that's growing at an average of 10 per cent
per year," Kennedy says. "The epidemic of obesity and
diabetes contributes to this as well as the aging population."
Kennedy admits there are not as many people suffering from kidney
disease as cancer or heart disease. For this reason, he says, there
is not as much investment in kidney disease research. As a result,
scientists pursuing kidney research have had a much slower jump
making major breakthroughs, which Kennedy says need to be there
to help those people.
"If we can, in any way, enhance the quality of life for people
already in that situation or prevent them from even getting there,
that would be a major coup," Kennedy says. "Being able
to lift some of the burden that is on the health care system is
the goal as well."
|